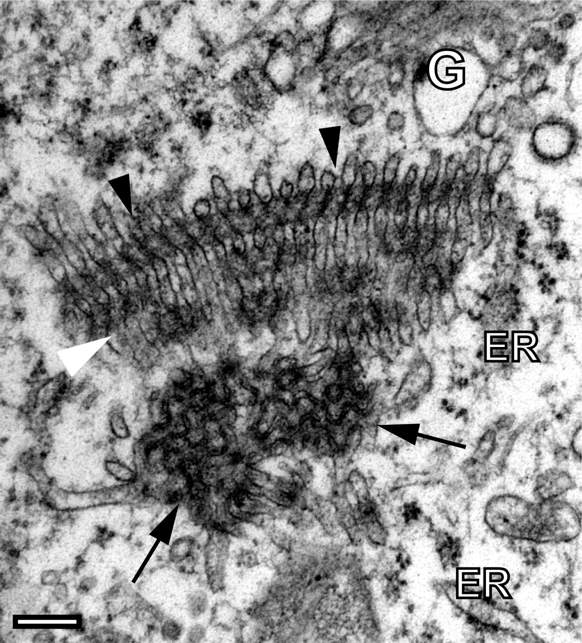
Figure 2

Transitional stage of lipid assembly at the periphery of a TUHMA. Irregular tubulo-reticular structures (TRS) at the periphery of a TUHMA which contains half-opened darkly contrasted loops that resemble building elements of cubic membranes (arrows). Between the core tubule of the TUHMA (black arrowheads) and the TRS exists a transitional zone (white arrowhead) displaying interleaves between putative elements of emerging or disappearing core elements. Note also rough endoplasmic reticulum (ER) and extensions of the nearby Golgi complex (G). Bar, 200 nm.